
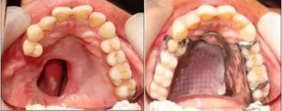
Obturators play a critical role in the rehabilitation of maxillectomy patients. A maxillectomy is a surgical procedure that removes part or all of the maxilla, or upper jaw bone, typically due to a malignant tumor. This surgery often results in a communication between the oral and nasal cavities, causing functional issues such as difficulty speaking, eating, and swallowing, as well as esthetic concerns.
An obturator is a maxillofacial prosthetic device that closes this communication, restoring function and appearance. Here's how obturators can help maxillectomy patients:
Obturators can be temporary or definitive. Temporary obturators are often used immediately after surgery to aid in healing, while definitive obturators are custom-made to provide the best fit, function, and esthetics for the long term. Despite their benefits, it's worth noting that obturators are a prosthetic solution and will require ongoing care and regular adjustments over time. Consult with your Maxillofacial Rehab Specialist today!!
Please schedule appointment for your Denture, Hearing and Facial prosthetic needs at Comfy Denture & Hearing clininc Near Federal Way, Kent, Bonney Lake cities.